l'Arthrose genou en détail
Qu’est-ce que l’arthrose du genou ? Chirurgie à Paris
L’arthrose est une chondropathie. C’est donc une maladie du cartilage (chondro = cartilage ; pathos = maladie). Il existe d’autre chondropathies, par exemple inflammatoires dans les arthrites, ou post-traumatiques après un accident…
Les surfaces articulaires du genou sont recouvertes de cartilage. Ce cartilage, c’est la peinture du genou. Avec le temps, le cartilage s’use inexorablement. Lorsque cette usure devient douloureuse et donc « pathologique », on parle d’arthrose.
Petit à petit, cette précieuse peinture s’écaille, telle la peinture sur un mur. Et des fragments de cartilage tombent dans le genou. Ils s’accumulent dans l’articulation, formant une sorte de microgravier. Le genou craque.
Au fur et à mesure, l’usure s’accélère, favorisée par le liquide articulaire ou « synovial » rempli de ce gravier cartilagineux qui raye toute l’articulation. Le liquide articulaire abrasif entretient l’inflammation du genou et aggrave les douleurs. L’arthrose est donc un cercle vicieux.
Quand opérer en cas d’arthrose du genou ?
Rarement, on peut proposer une chirurgie préventive qui permet de corriger les facteurs prédisposant à l’arthrose : ce sont les ostéotomies autour du genou.
Lorsque tous les traitements médicaux se sont avérés insuffisants ou lorsque le stade est trop avancé, on proposera une chirurgie pour l’arthrose du genou.
Il existe donc plusieurs types de chirurgie de l’arthrose :
- Préventives - ostéotomies, réparations des ligaments croisés, des ménisques, etc. ;
- Curatives pour une arthrose précoce - arthroscopie ;
- Curative pour une arthrose avancée ou terminale - les prothèses de genou.
Les ostéotomies du genou
Ce sont des opérations préventives de l’arthrose. L’objectif est de modifier l’anatomie d’une personne pour diminuer le risque de survenue d’arthrose. La plupart du temps, ces opérations ne font malheureusement que retarder la survenue d’arthrose.
Il existe deux types principaux de déformations des genoux :
- Le genu varum
Les genoux sont arqués et favorisent la survenue d’arthrose au niveau de la partie interne du genou (le compartiment médial ou interne). Cette déformation siège presque toujours au niveau du tibia. L’ostéotomie tibiale de valgisation (OTV) consiste donc à modifier la forme du tibia pour rééquilibrer les forces transmises au genou.
- Le genu valgum
Lorsque les genoux sont en X, la partie latérale du genou (compartiment latéral) est soumise à des forces très importantes. La déformation siège souvent au niveau du fémur. On proposera parfois une ostéotomie fémorale de varisation, qui consiste donc à modifier la forme du fémur pour rééquilibrer les forces transmises au genou.
Ces opérations sont devenues rares, car il existe désormais des alternatives fiables. Toutefois, on les pratique encore de façon régulière pour des patients jeunes présentant des signes précoces d’arthrose.
Les prothèses du genou
Lorsque le cartilage est totalement usé (arthrose), on ne connaît actuellement aucun moyen de le faire repousser. Avec l’essor de la science et des cellules souches, on espère qu’un jour cela sera possible.
Actuellement, la seule solution fiable et efficace pour soigner l’arthrose terminale est la réalisation d’une prothèse du genou.
Il existe plusieurs types de prothèses du genou selon le type d’arthrose.
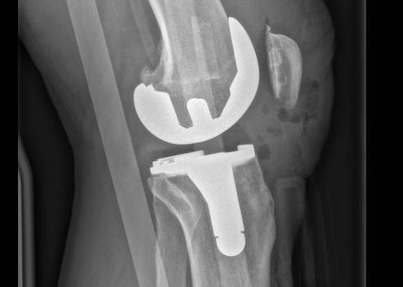
Les Prothèses Totales du Genou (PTG)
Quand l’arthrose atteint tout le genou, c’est la seule option envisageable. Les prothèses de genou vont remplacer les surfaces articulaires du genou.
On les appelle également prothèses tricompartimentales de genou, car elles remplacent les 3 compartiments du genou :
- Compartiment interne/médial ;
- Compartiment externe/latéral ;
- Compartiment fémoro-patellaire (rotulien).
Les Prothèses Unicompartimentales du Genou (PUC)
Lorsque l’arthrose ne touche pas l’intégralité du genou mais seulement un des 3 compartiments, on peut parfois proposer une prothèse unicompartimentale. Ainsi, il existe des prothèses unicompartimentales médiales, latérales ou fémoro-patellaires.
Comme pour une prothèse totale du genou, une PUC nécessite un genou qui devient résistant à un traitement médical bien conduit. On considérera toutefois que les PUC sont de bonnes alternatives à d’autres traitements tels que l’ostéotomie chez des patients de plus de 50 ans.
Les résultats des PUC sont bien souvent excellents avec un genou presque totalement indolore et une prothèse bien souvent « oubliée ».
Ce qu’il faut retenir :
- Les prothèses totales de genou offrent d’excellents résultats à moyen et long terme si les patients sont bien sélectionnés ;
- Les résultats définitifs nécessitent de longs mois de rééducation ;
- Tabagisme, diabète mal équilibré et obésité augmentent considérablement le risque de complications.



